Dr. Luminitsa Visan
Dentist-General Dentist-General Dentistry
Specialization:
- treatment of caries of any complexity;
- microscope-assisted root canal treatment;
- ZOOM4 teeth whitening;
- professional oral hygiene;
- treatment of gum diseases using the VECTOR device;
- consultations and oral health monitoring.
Experience:
more than 11 years
“Working under a microscope isn’t only about absolute precision. It’s about maximizing preservation of your tooth’s healthy tissues. Every millimeter saved adds years to a tooth’s life. What could be more important?”
Education
- 2015 diploma in "Stomatology", Higher education integrated studies, Ministry of education Republic of Moldova
- 2017 internship in the specialty "General Practice Dentistry", Federal State Autonomous Educational Institution of Higher Education "Peoples' Friendship University of Russia", Moscow
- 2019 retraining in the program of additional professional education "Organization of Health Care and Public Health", LLC "Stolichny Multidisciplinary Institute of Additional Education", Moscow
Refresher courses
- 2020 course on the program "General Practice Dentistry", LLC "Stolichny Multidisciplinary Institute of Additional Education", Moscow
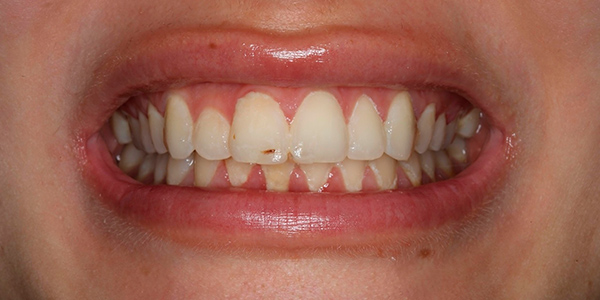
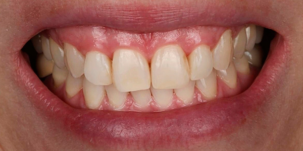
Evaluate the amazing
results of our clients:
Сertificates
Dental Therapist Consultation
600 AED
Professional Oral Hygiene
1,100 AED
Teeth whitening Zoom4
3 340 AED for this service VAT 5% is added
Pulpitis treatment under a microscope
from 3,470 AED
Caries treatment
from 990 AED up to 1,750 AED












