Dr. Kichigina Margarita
Dentist – General Dentist – General Dentistry
Specialization:
- treatment of caries of any complexity;
- microscope-assisted root canal treatment;
- ZOOM4 teeth whitening;
- professional oral hygiene;
- treatment of gum diseases using the VECTOR device;
- consultations and oral health monitoring.
Experience:
more than 9 years
“Quality treatment is a system where every detail matters. From accurate diagnostics to final polishing—each step affects how long a restored tooth will last.”
Education
- 2017 diploma in the specialty "Dentistry", First St. Petersburg State Medical University named after. I.P. Pavlova
- 2020 residency in the specialty "Dentistry", Irkutsk State Medical University
Refresher courses
- 2017 Seminar “Modeling behavior and influencing a child’s attitude towards dental treatment. Features of organizing children's reception"
- 2017 Seminar “Contact point. Current issues in direct restoration of the chewing teeth. Simple solutions”, Kaltyugina A.V.
- 2018 Seminar “Modern methods for eliminating dental discoloration”, Akulovich A.V.
- 2019 Seminar “Radiation diagnostics in the outpatient practice of a dentist. Basic course" (Rogatsky Dmitry Vasilievich)
- 2019 Seminar “Modern opportunities for professional oral hygiene”, (Bukhanova T. Yu.)
- 2019 Seminar “Effective doctor, ability to communicate with a patient” (Nikolaev P.)
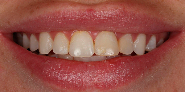
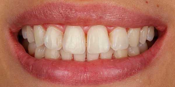
Evaluate the amazing
results of our clients:
-
Dental Therapist Consultation
650 AED
-
Professional Oral Hygiene
1 200 AED
-
Teeth whitening for this service VAT 5% is added
3 510 AED
-
Caries treatment
from 1040 AED - to 1 800 AED



